Perubahan Warna Gigi

May 05, 2021

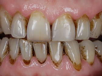
Gigi Kuning akibat Antibiotik Halaman all - Kompas.com Yuk Cari Tahu Penyebab Perubahan Warna Gigi - FDC Dental Clinic Perawatan Estetik pada Diskolorasi Gigi Depan - RSGM Maranatha Trik Mencegah Gigi untuk Mengalami Perubahan Warna | Global Estetik Muhammad Hamzah: Kenapa Gigi Saya Berubah Warna? Gigi kamu kuning? Inilah hal-hal yang wajib kamu ketahui - Tampil … Perawatan Diskolorisasi Gigi – Dental Universe Indonesia Poster diskolorasi gigi 6 Makanan yang Dapat Menyebabkan Gigi berwarna Kuning, dari Kari … Veneer Gigi, Ini yang Harus Anda Ketahui - Alodokter Makalah Bleaching Apa saja faktor yang dapat menyebabkan warna gigi bisa mengalami … Penyebab Gigi Kuning yang Mungkin Belum Anda Ketahui - Info Sehat … Kenali Apa Itu Pemutihan Gigi - Alodokter O-smile Dental - Klinik Gigi, Kawat Gigi, Implan Gigi Jogja … tacdentalclinic Instagram posts - Gramho.com Apa yang dimaksud dengan bleaching gigi? - Ilmu Kedokteran Gigi … Mau Bleaching Gigi? Baca Dulu Manfaat, Biaya Dan Resikonya – dental.id 6 Penyebab Perubahan Warna pada Gigi yang Bikin Gak Percaya Diri SImak, Ini 6 Makanan yang Sebabkan Warna Kuning pada Gigi … Blog Rasmi Bahagian Kesihatan Pergigian Negeri Sembilan: PERUBAHAN … Rohaya Dental Surgery - ~Gigi Berubah Warna~ Pengenalan Perubahan … Antibiotik Sebabkan Perubahan Warna Gigi - Intisari Gigi Kuning : Gejala, Penyebab, dan Pengobatan | Hello Sehat PERUBAHAN WARNA GIGI - E-JURNAL Perubahan Warna Gigi Pasti Karena Masalah Ini! | Global Estetik 6 Penyebab Gigi Berwarna Abu-abu, Berbahayakah? Jangan Sepelekan, Ini Fakta Perubahan Warna Gigi Anak | Popmama.com Gigi Mati: Penyebab, Tanda, dan Cara Mengatasinya Perawatan Diskolorisasi Gigi – Dental Universe Indonesia Pemutih Gigi (Bleaching) - Ulya Days Kenali, Ini Berbagai Penyebab Warna Gigi Bisa Berubah Bab i Penatalaksanaan gigi anterior yang mengalami perubahan warna dan … Hati-hati, 8 Hal Ini Bisa Jadi Penyebab Gigi Kuning Kumpulan Informasi Artikel Kesehatan Gigi - FDC Dental Clinic Usah biarkan gigi berubah warna BLEACHING GIGI | Osaka Dental Care Perubahan Warna Gigi JnJ Dental Care - Perubahan warna gigi bisa disebabkan… | Facebook Endodontics treatment Plus Minus Metode Memutihkan ‘Bleaching’ Gigi yang Perlu Kamu Tahu … Kandungan Obat yang Bisa Membuat Perubahan Warna Pada Gigi - Scarf … Memutihkan Gigi (Bleaching Teeth) - DokterGigi.ID Bleaching Gigi: Perawatan Gigi yang jadi Primadona … Bleaching Internal | Audy Dental Jangan Sepelekan, Ini Fakta Perubahan Warna Gigi Anak | Popmama.com Program Penyuluhan - Kelompok Klinik H 2011 BLEACHING GIGI | Osaka Dental Care Bab i Selain Bikin Gigi Kuning, Ini Efek Lain yang disebabkan Kopi Pada … Jangan Sepelekan, Ini Fakta di Balik Perubahan Warna Gigi Anak 10 Penyebab Gigi Kuning yang Sering Terjadi, Ketahui Cara … Waspada, Perubahan Warna Lidah Tunjukan Masalah Kesehatan Halaman … Gigi Bisa Berubah Warna Karena Ini LipoLysis Instagram posts - Gramho.com Gigi Putih dan Penyebab Perubahan Warna Gigi Gigi Berubah Warna - PORTAL MyHEALTH Warna Gigi Berubah? Ini Penyebab dan Cara Perawatannya! Kerusakan gigi Gigi manusia Pasta gigi Perubahan warna gigi, pasta … bleachinggigipontianak Instagram posts (photos and videos … 7 Penyebab Gigi Berwarna Abu-Abu – 101KPFM Jangan Sepelekan, Ini Fakta di Balik Perubahan Warna Gigi Anak Our Clinic | Facebook Tanda Gigi Keropos pada Anak & Cara Mencegahnya | Pepsodent Kedokteran Gigi Kosmetik Perubahan warna Antibiotik tetrasiklin … Waspadai Perubahan pada Rongga Mulut, Tandakan Penyakit Serius … 6 Hal Penyebab Berubahnya Warna Gigi Susu Si Kecil Meski Digosok Setiap Hari, Gigi Si Kecil Berwarna Kuning, Mungkin … Cara Mudah Putihkan Gigi Perokok - Tribun Timur firstdentalcitywalk Instagram profile with posts and stories … Gigi Cemerlang Berkat Dental Bleaching Gigi Kuning dan Perubahan Warna: Punca dan Rawatan - Penjagaan … Penyebab Gigi Kuning dan Cara Mencegahnya - Alodokter COMMUNITY > BERITA PDGI > Cara Aman untuk Memutihkan Gigi Ayo Putihkan Gigi Dengan “DENTAL WHITENING” | Glimlach Bali Obat Buat Gusi - Obat Gusi Bengkak, Radang Gusi, Pengobatan … Penyebab Gigi Tetap Kuning Meski Rajin Sikat Gigi - Bebaspedia.com PDF) Efektivitas Pasta Gigi Pemutih Terhadap Perubahan Warna Gigi … 6 Penyebab Perubahan Warna pada Gigi yang Bikin Gak Percaya Diri Bunda, Ketahui Penyebab Gigi Kuning dan Cara Menghilangkannya Cara Mengatasi Perubahan Warna Pada GIGI | Tips Seputar Kesehatan Gigi Balita Patah, Apa yang Harus Dilakukan? Bagaimana Cara Memutihkan Gigi dengan Pasta Gigi Pemutih? Sharing: Gigi Anak Berubah Warna Setelah Terbentur – sayaibu Pemutihan Gigi Kedokteran Gigi Gigi Gigi Manusia - Perubahan Warna … GempakSpot: “Kalau Gigi Bersih Nak Senyum Sampai Ke Telinga Pun … 5 Cara Menghilangkan Gigi Hitam yang Efektif Sesuai Penyebab FAQ Seputar Bleaching – MHDC Clinic | Klinik Gigi dengan Harga … Bab i Mengetahui Perubahan Warna Gigi Pada Anak - Ruangdiary.com Diskolorasi Gigi KUNING DAN PERUBAHAN WARNA GIGI YANG LAIN PADA KANAK-KANAK … Gigi Berubah Warna - PORTAL MyHEALTH Gigi Susu Anak: Pertumbuhan, Masalah dan Cara Perawatannya | Pepsodent 6 Jenis Gigi Ini Tak Boleh Pasang Veneer, Simak Penjelasan Pakar … 10 Cara Memutihkan Gigi Kuning Secara Alami, Tanpa Efek Samping … BAB I PENDAHULUAN A. LATAR BELAKANG Warna gigi normal Penyebab Perubahan Warna Gigi - IndoTopInfo.com Perawatan Saluran Akar Gigi - RSGM Maranatha

Contoh Perubahan Sosial Secara Evolusi

Perubahan Sistem Pencernaan Pada Ibu Hamil